成人矯正
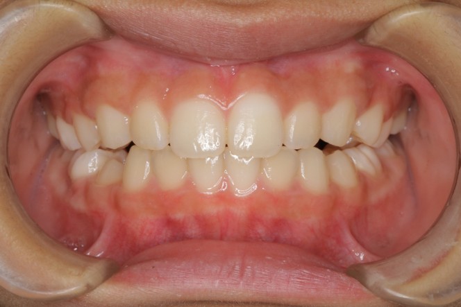
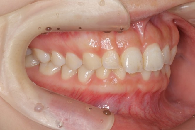
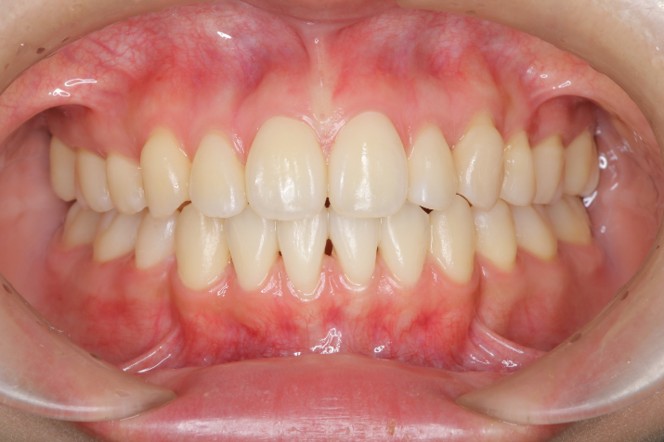
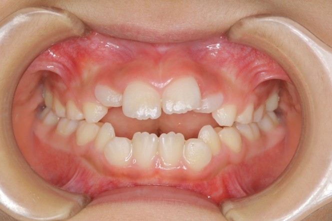
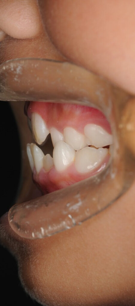
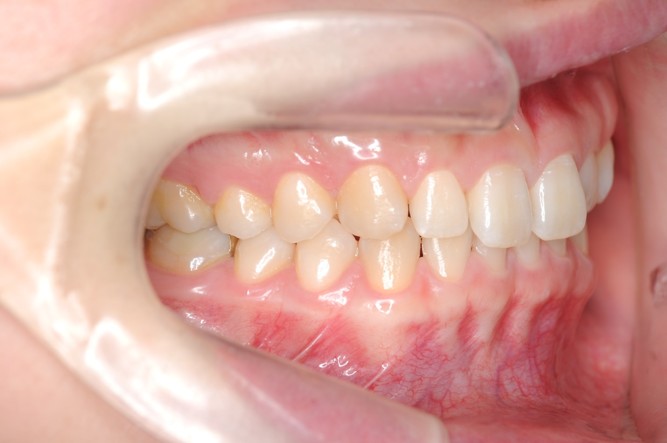
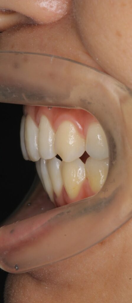
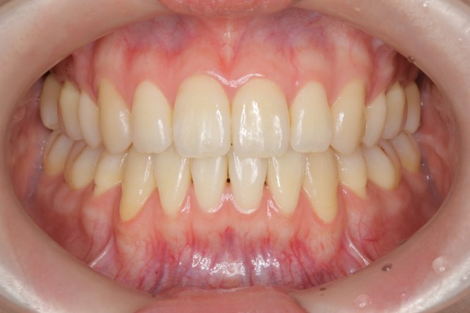
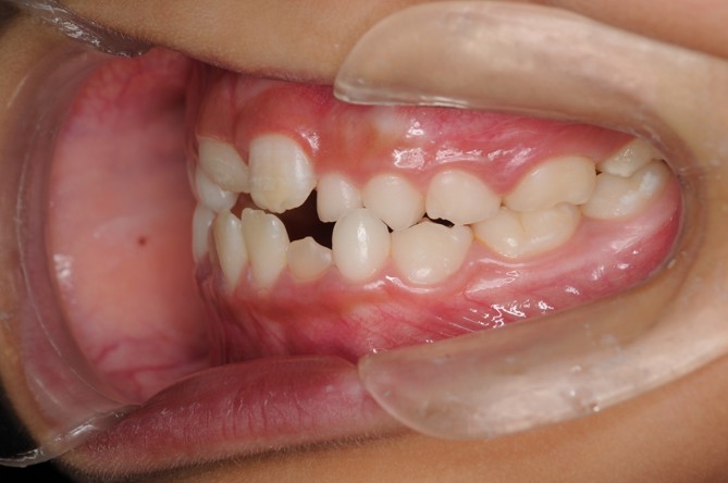
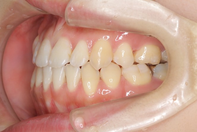
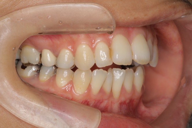
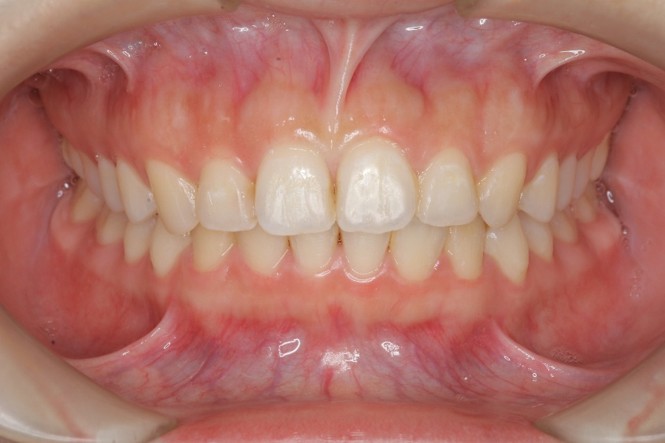
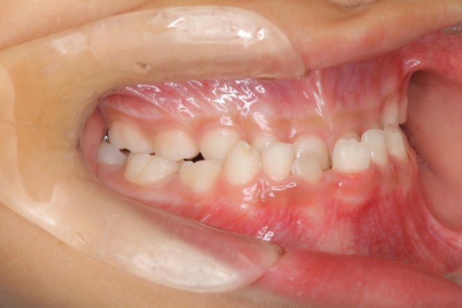
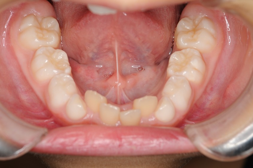
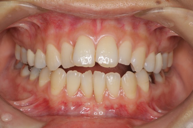
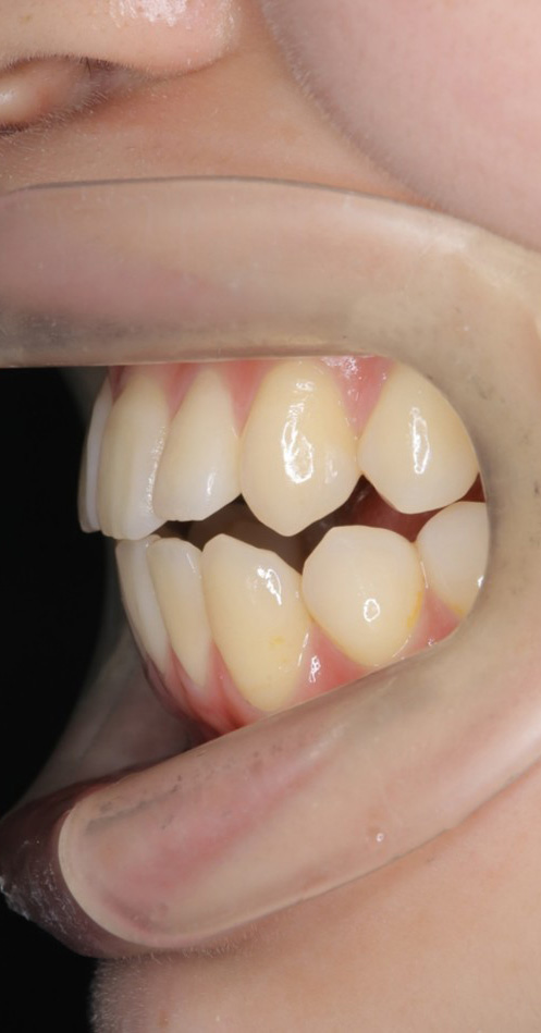
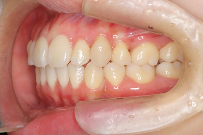
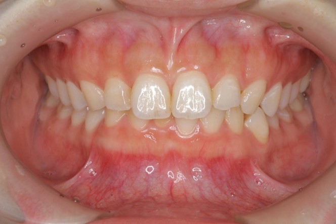
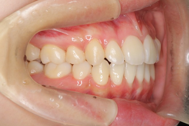
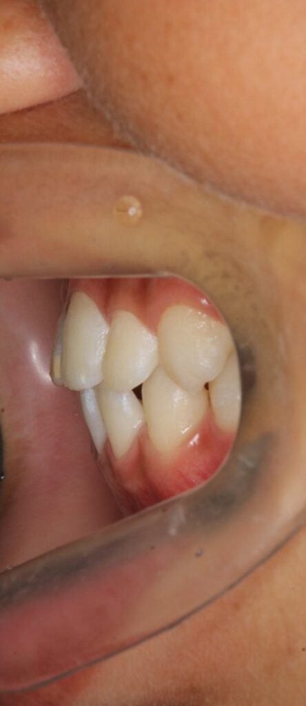
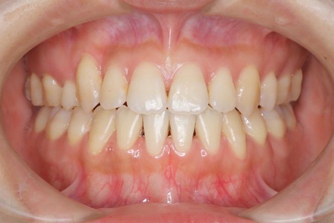
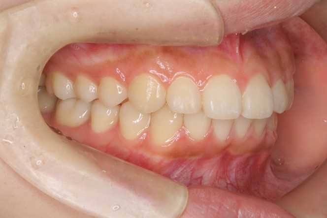
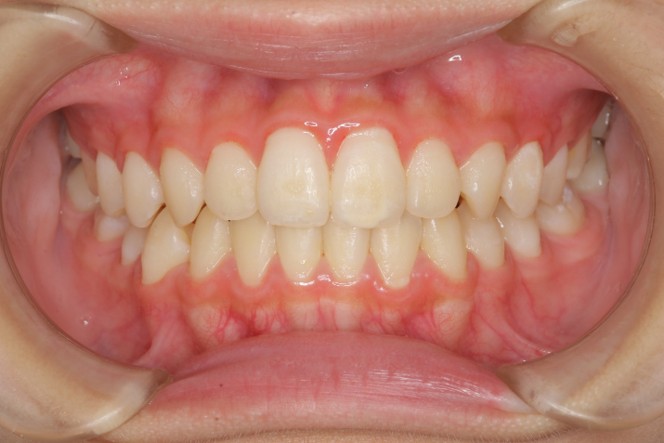
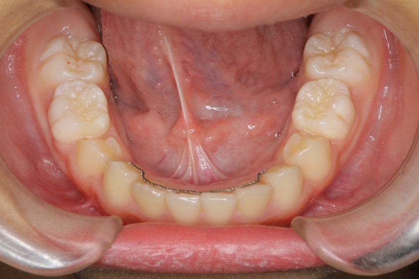
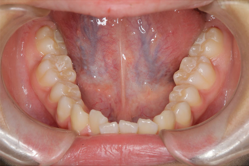
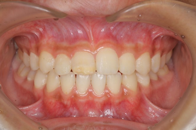
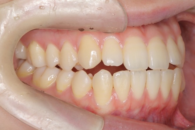
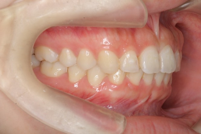
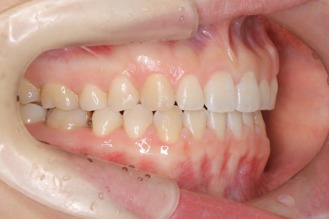
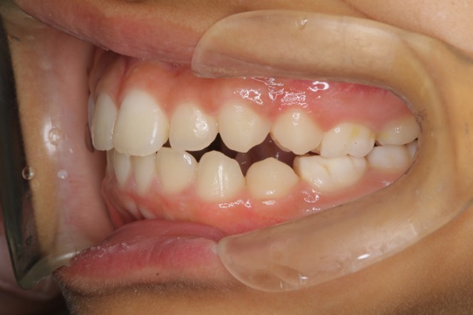
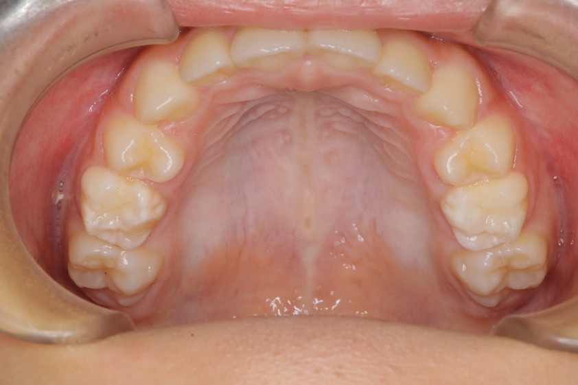
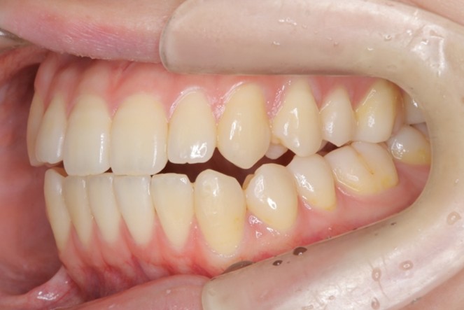
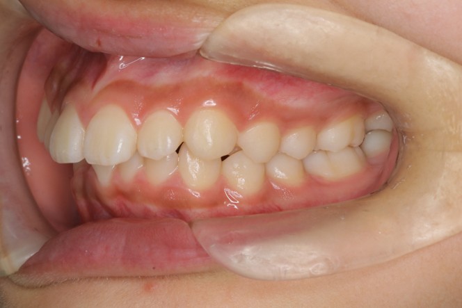
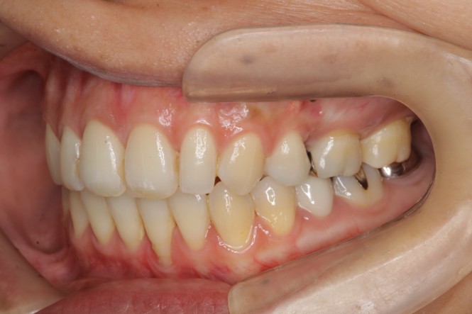
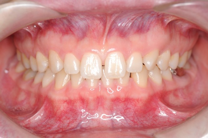
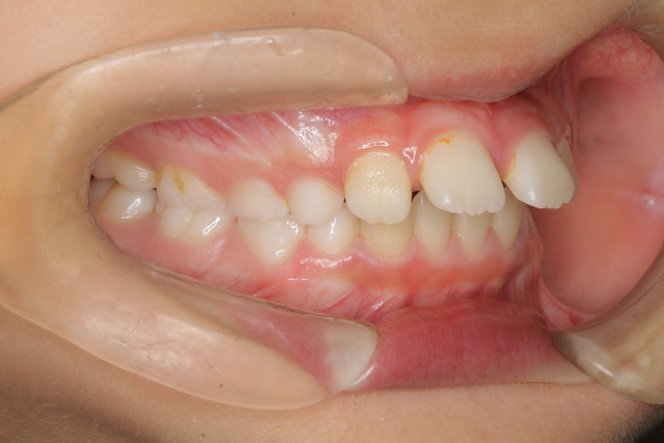
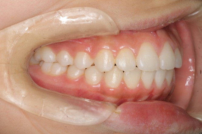
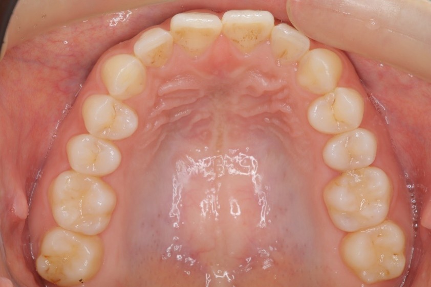
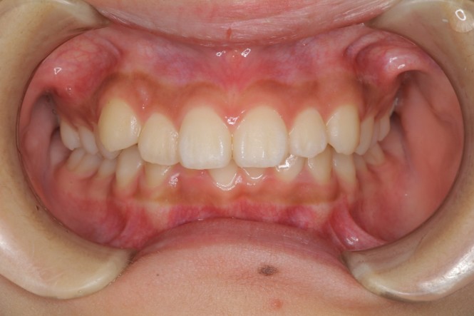
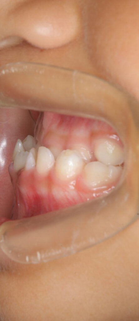
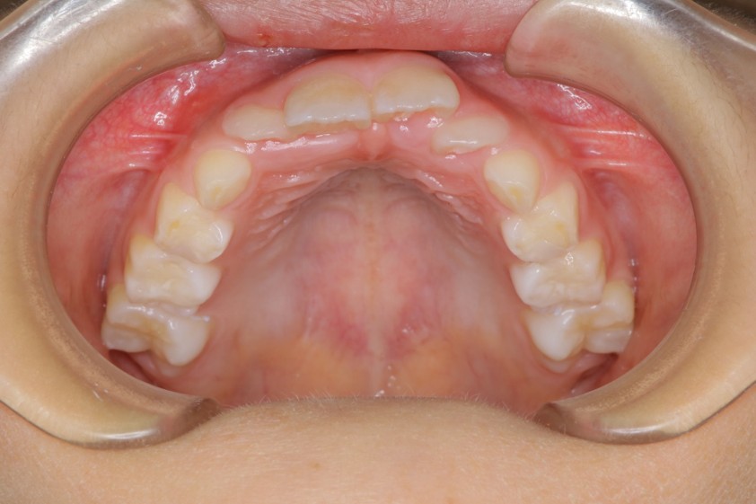
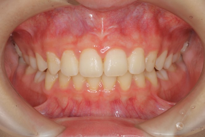
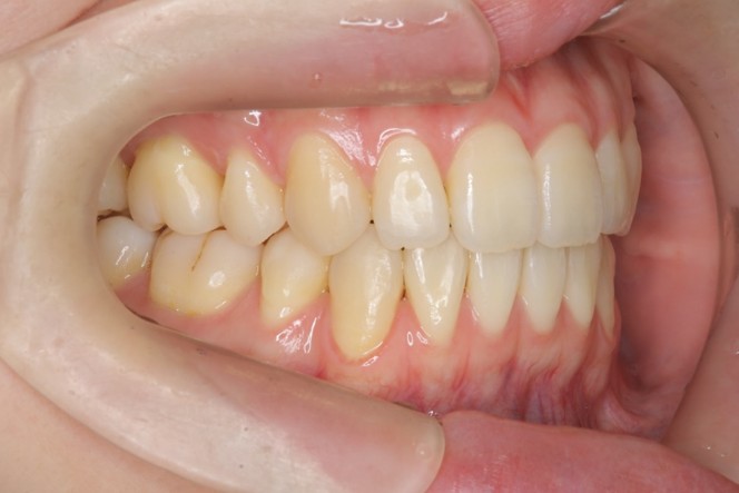
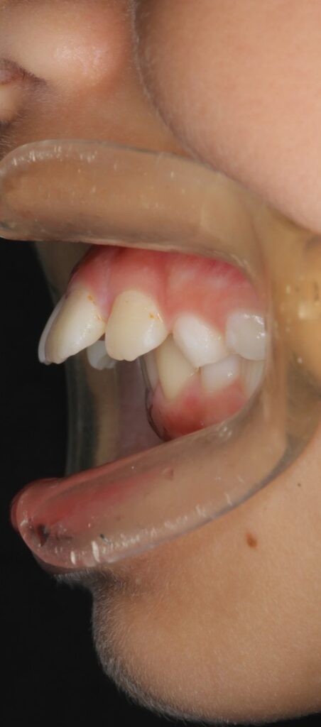
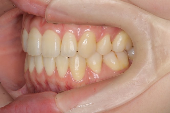
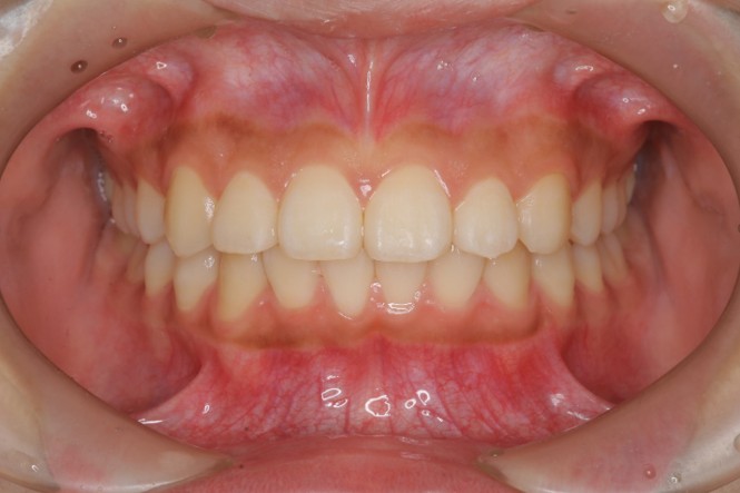
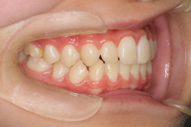
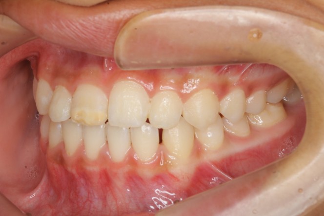
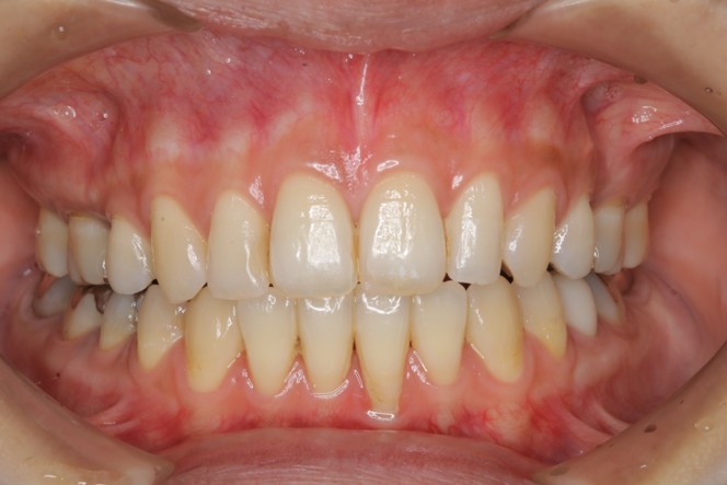
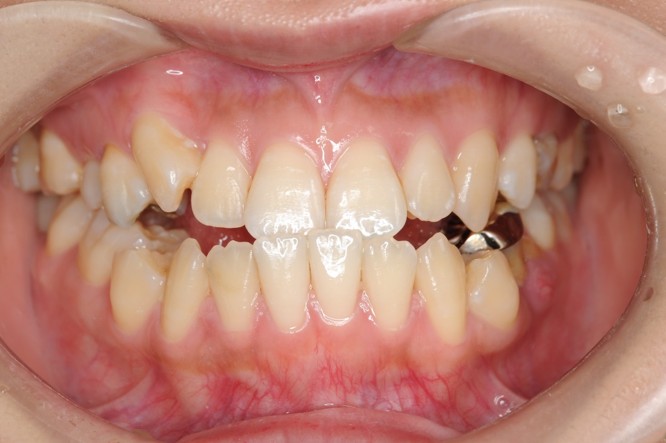
症例1
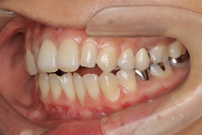
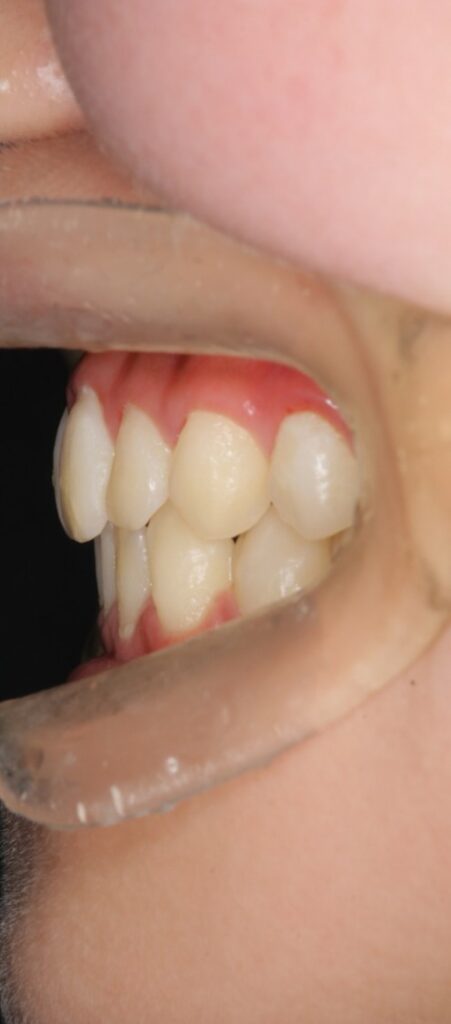
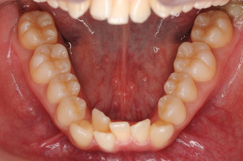
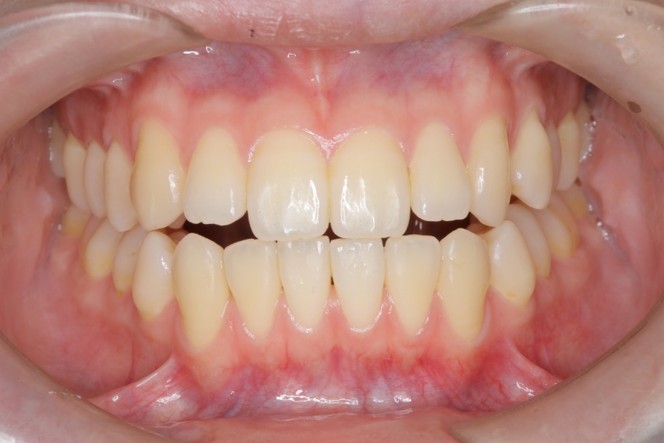
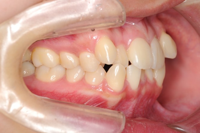
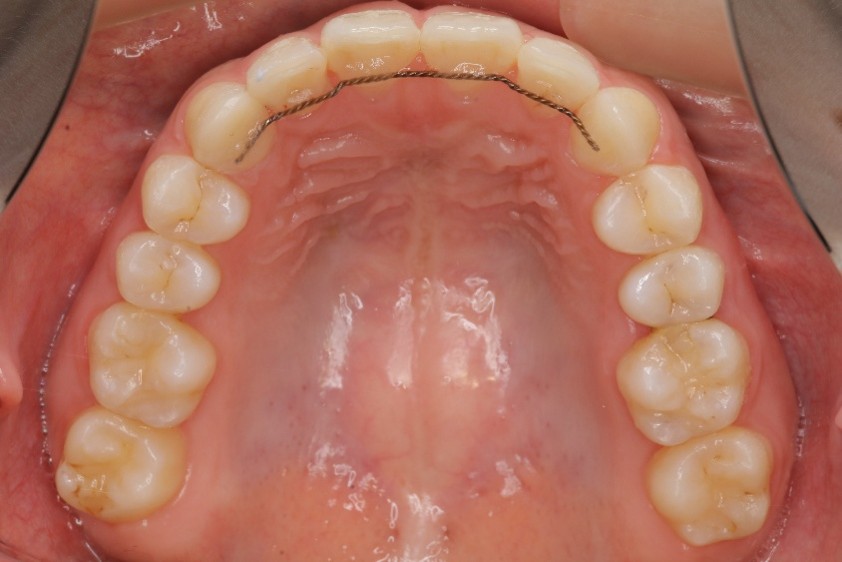
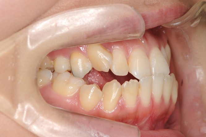
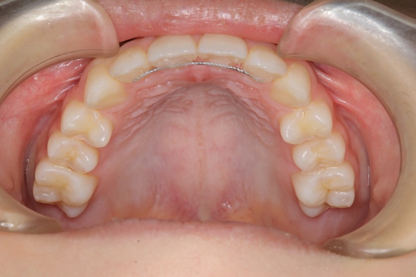
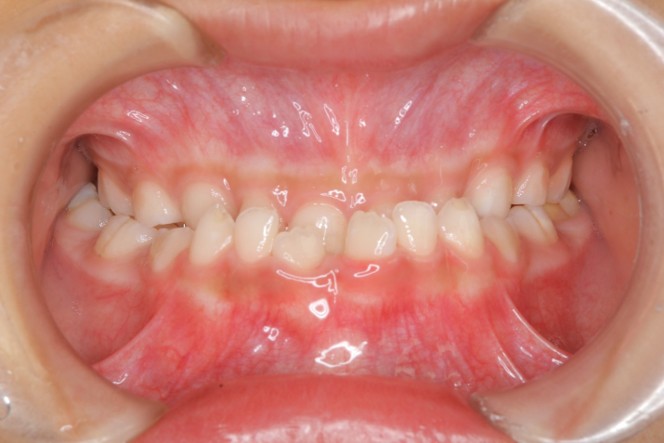
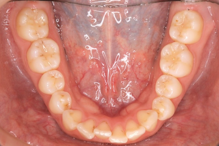
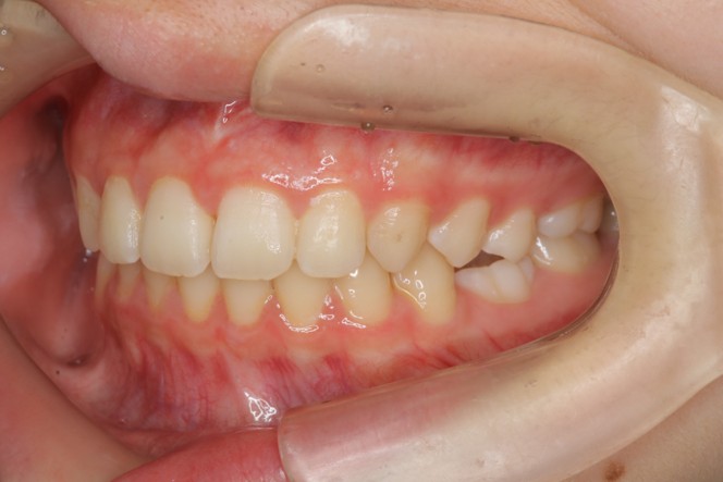
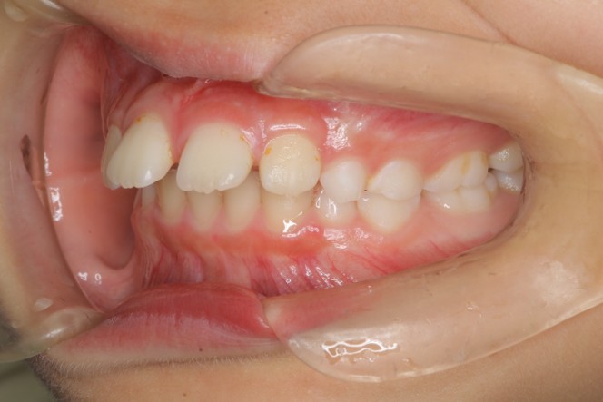
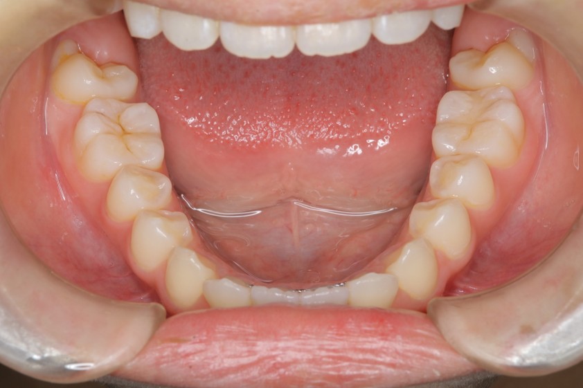
| 主訴 | 歯並びが気になる。顎が痛い。 |
|---|---|
| 診断名 | 叢生・過蓋咬合・顎関節症 |
| 年齢 | 23歳 |
| 治療に⽤いた主な装置 | アライナー型矯正装置 |
| 抜⻭部位 | 非抜歯 |
| 治療期間 | 1年 |
| 治療費概算 | ¥650,000 |
| リスクと副作⽤ | 矯正治療においては以下のようなリスクや副作用が考えられます ・虫歯や歯周病 ・歯根吸収(歯の根が短くなる症状) ・歯肉退縮(歯茎が下がる症状) ・骨性癒着(歯と骨が癒着し歯が動かない状態) ・歯髄壊死(歯の神経が失活した状態) |
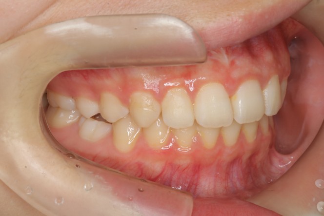
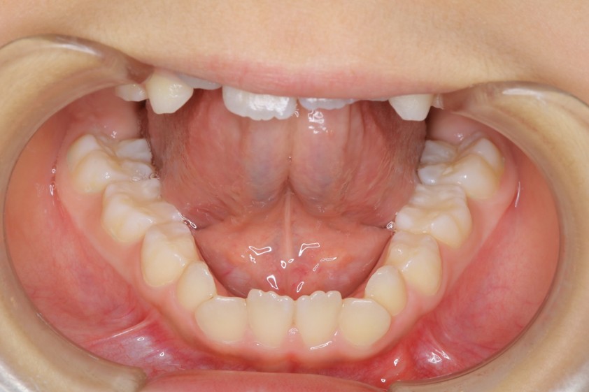
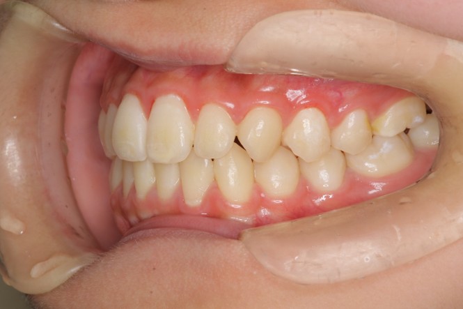
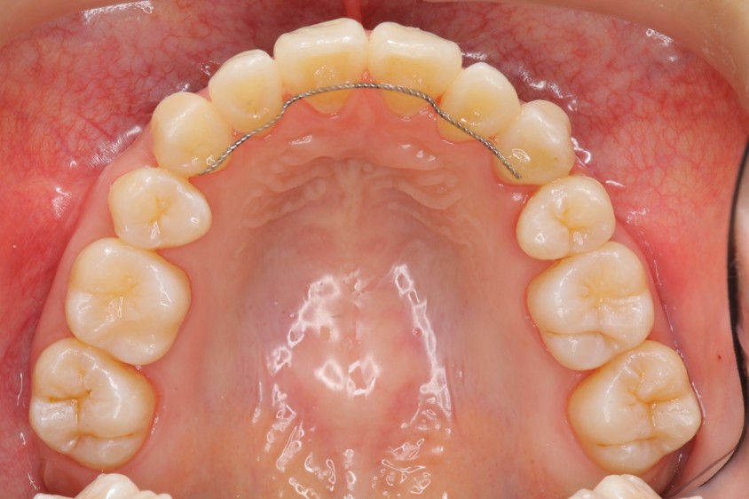
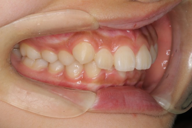
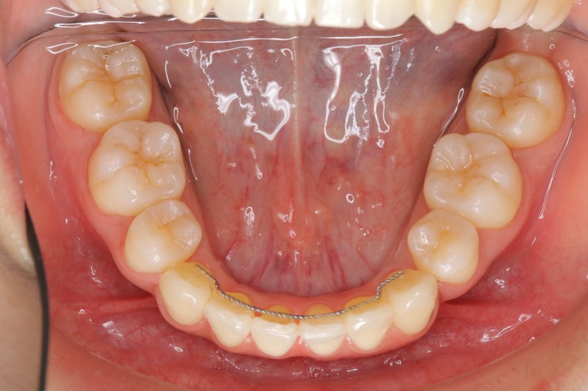
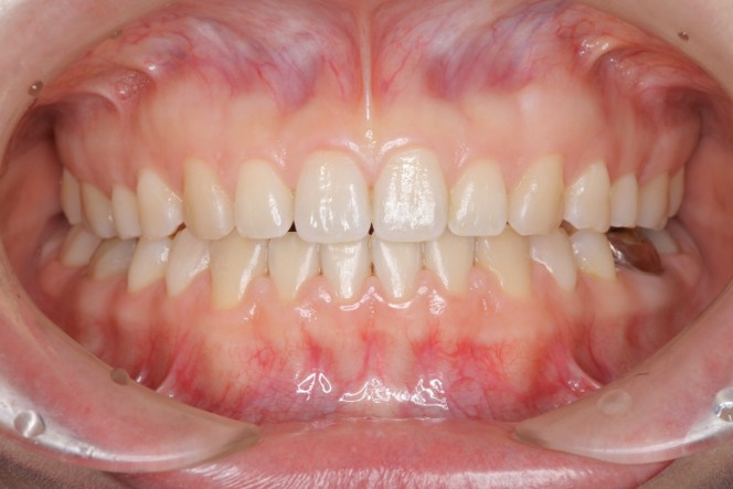
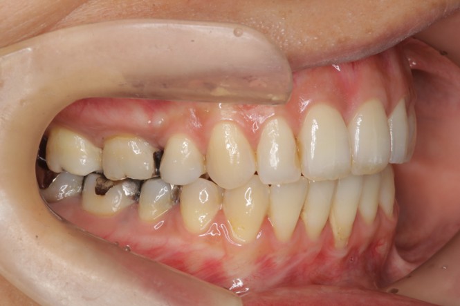
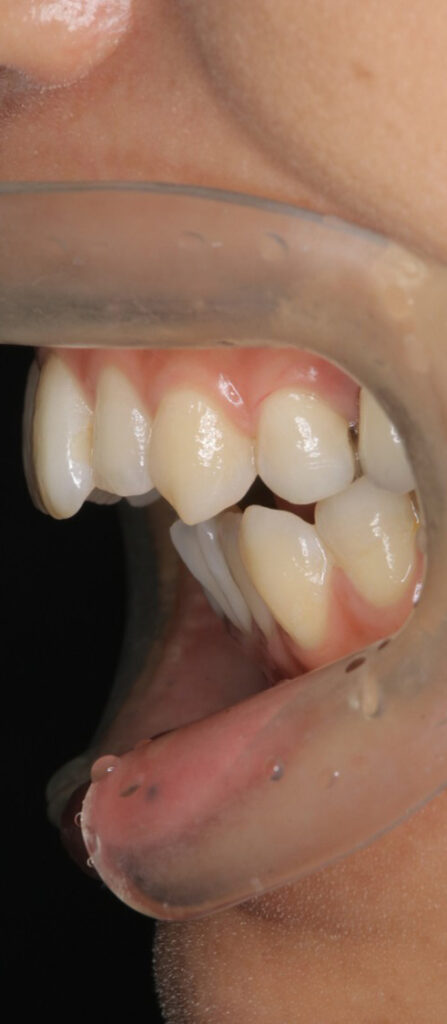
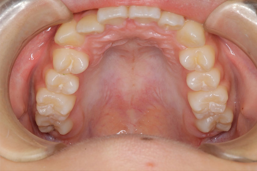
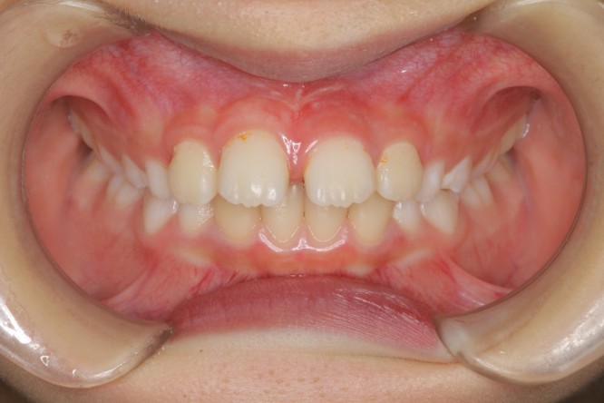
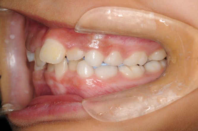
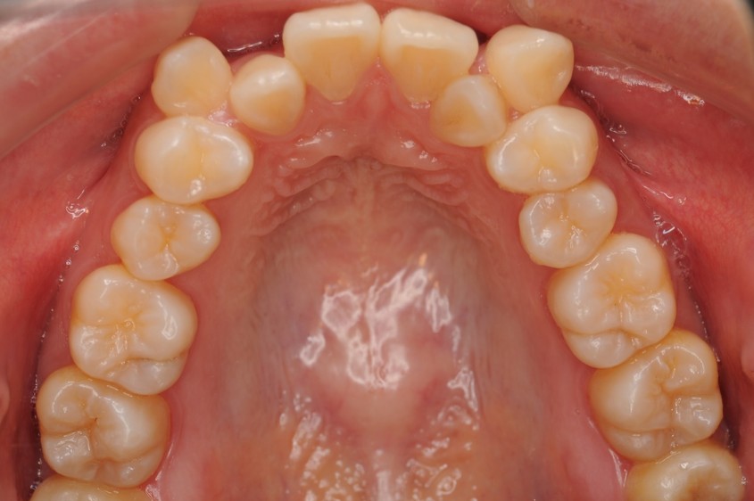
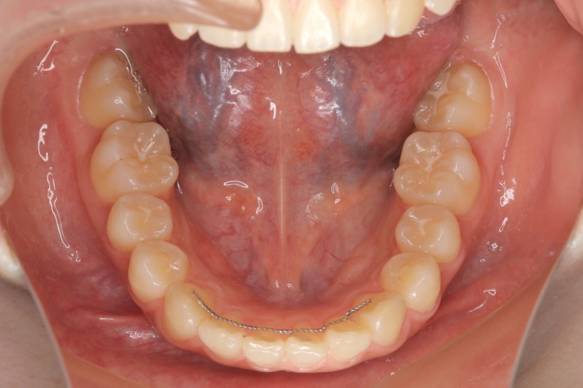
Before
After
Before
After
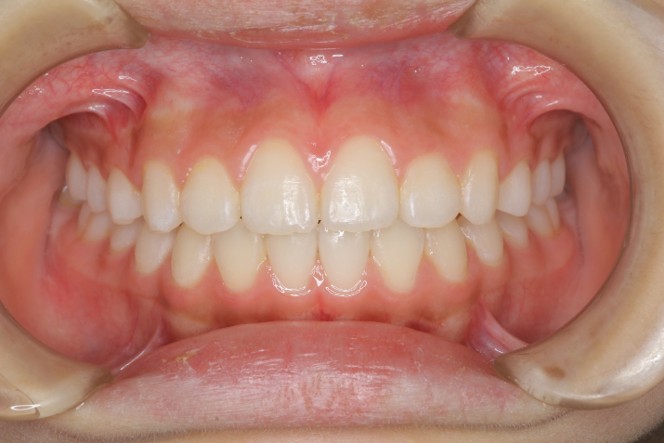
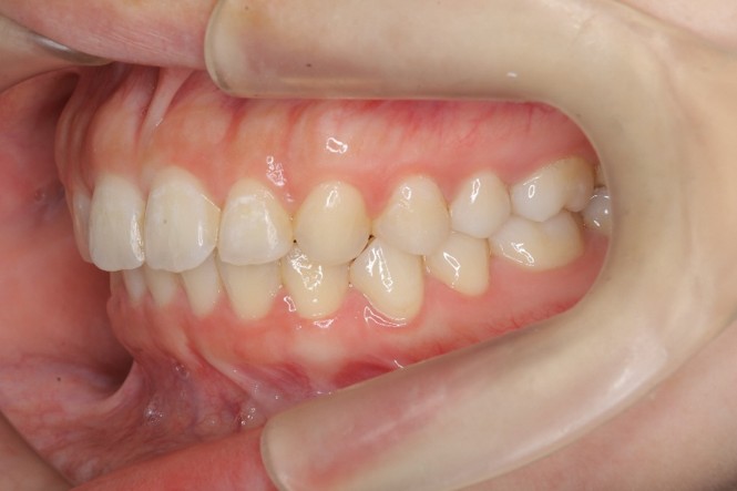
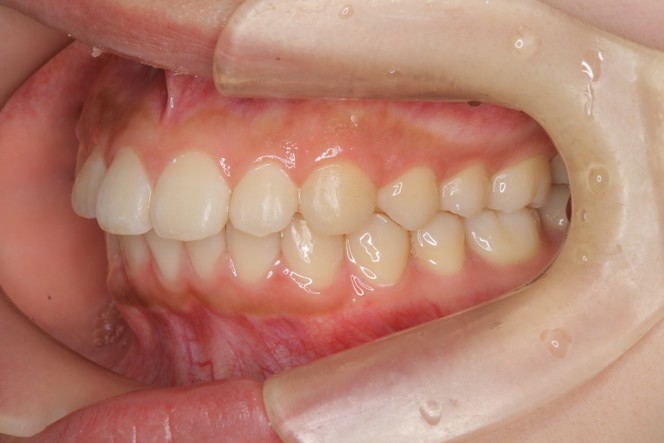
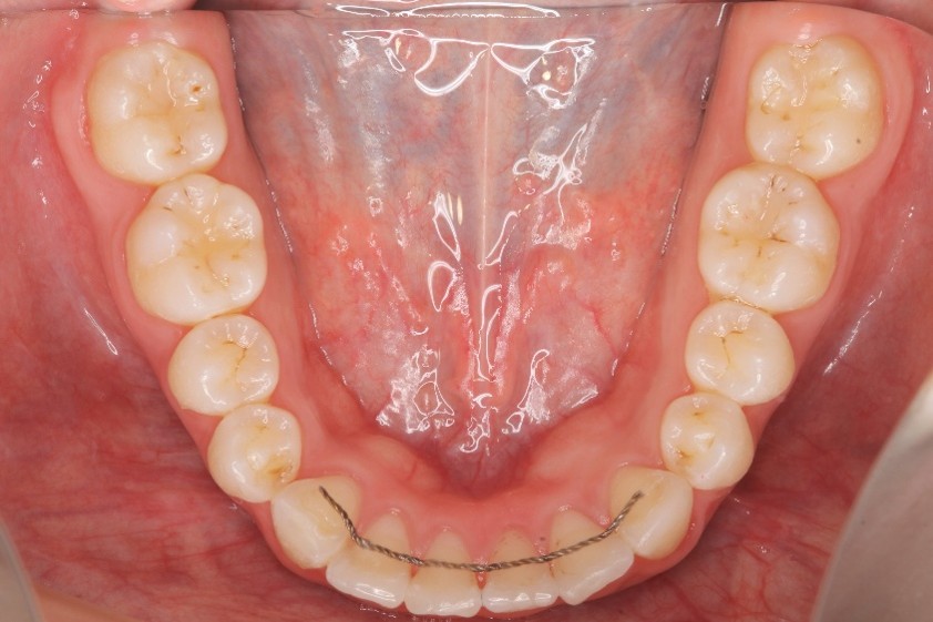
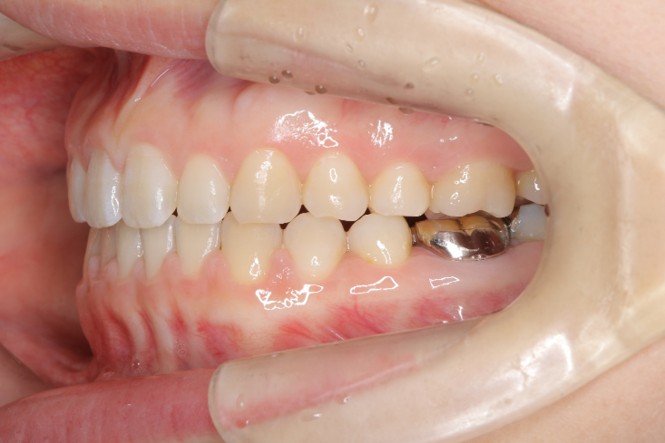
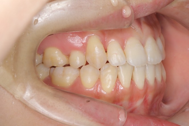
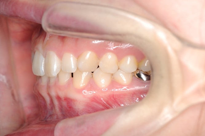
症例2
| 主訴 | ガタガタが気になる |
|---|---|
| 診断名 | 叢生 |
| 年齢 | 20歳 |
| 治療に⽤いた主な装置 | マルチブラケット装置 |
| 抜⻭部位 | 上下両側第一小臼歯抜歯 |
| 治療期間 | 2年6ヶ月 |
| 治療費概算 | ¥650,000 |
| リスクと副作⽤ | 矯正治療においては以下のようなリスクや副作用が考えられます ・虫歯や歯周病 ・歯根吸収(歯の根が短くなる症状) ・歯肉退縮(歯茎が下がる症状) ・骨性癒着(歯と骨が癒着し歯が動かない状態) ・歯髄壊死(歯の神経が失活した状態) |
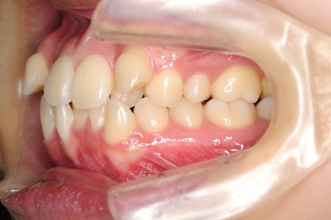
Before
After
Before
After
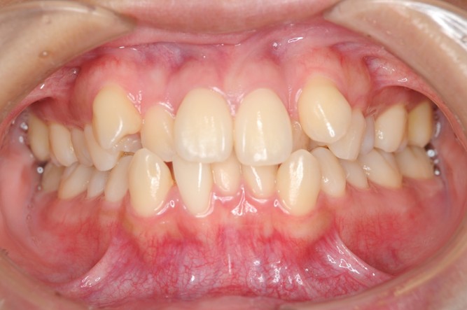
症例3
| 主訴 | 出っ歯が気になる |
|---|---|
| 診断名 | 骨格性上顎前突症・開咬・顎関節症 |
| 年齢 | 32歳 |
| 治療に⽤いた主な装置 | マルチブラケット装置 |
| 抜⻭部位 | 上顎両側第一小臼歯抜歯 |
| 治療期間 | 2年10ヶ月 |
| 治療費概算 | ¥650,000 |
| リスクと副作⽤ | 矯正治療においては以下のようなリスクや副作用が考えられます ・虫歯や歯周病 ・歯根吸収(歯の根が短くなる症状) ・歯肉退縮(歯茎が下がる症状) ・骨性癒着(歯と骨が癒着し歯が動かない状態) ・歯髄壊死(歯の神経が失活した状態) |
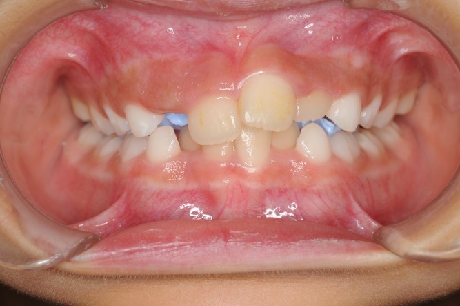
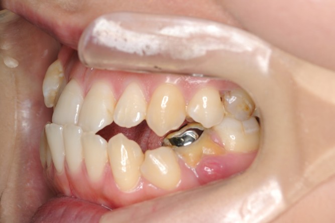
Before
After
Before
After
Before
After
症例4
| 主訴 | 歯の隙間が気になる。顎が痛い。 |
|---|---|
| 診断名 | 過蓋咬合・空隙歯列弓・顎関節症 |
| 年齢 | 26歳 |
| 治療に⽤いた主な装置 | マルチブラケット装置 |
| 抜⻭部位 | 非抜歯 |
| 治療期間 | 1年10ヶ月 |
| 治療費概算 | ¥650,000 |
| リスクと副作⽤ | 矯正治療においては以下のようなリスクや副作用が考えられます ・虫歯や歯周病 ・歯根吸収(歯の根が短くなる症状) ・歯肉退縮(歯茎が下がる症状) ・骨性癒着(歯と骨が癒着し歯が動かない状態) ・歯髄壊死(歯の神経が失活した状態) |
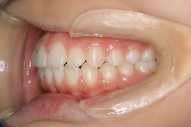
Before
After
Before
After
Before
After
症例5
| 主訴 | 受け口が気になる。 |
|---|---|
| 診断名 | 骨格性下顎前突症・開咬・顎関節症 |
| 年齢 | 25歳 |
| 治療に⽤いた主な装置 | マルチブラケット装置 |
| 抜⻭部位 | 上顎両側第一小臼歯・下顎左側第二乳臼歯 |
| 治療期間 | 2年7ヶ月 |
| 治療費概算 | ¥650,000 |
| リスクと副作⽤ | 矯正治療においては以下のようなリスクや副作用が考えられます ・虫歯や歯周病 ・歯根吸収(歯の根が短くなる症状) ・歯肉退縮(歯茎が下がる症状) ・骨性癒着(歯と骨が癒着し歯が動かない状態) ・歯髄壊死(歯の神経が失活した状態) |
Before
After
Before
After
症例6
| 主訴 | 口元が出ているのが気になる。顎が痛い。 |
|---|---|
| 診断名 | 上下顎前突・開咬・顎関節症 |
| 年齢 | 25歳 |
| 治療に⽤いた主な装置 | マルチブラケット装置 |
| 抜⻭部位 | 上下顎両側第一小臼歯抜歯 |
| 治療期間 | 2年6ヶ月 |
| 治療費概算 | ¥650,000 |
| リスクと副作⽤ | 矯正治療においては以下のようなリスクや副作用が考えられます ・虫歯や歯周病 ・歯根吸収(歯の根が短くなる症状) ・歯肉退縮(歯茎が下がる症状) ・骨性癒着(歯と骨が癒着し歯が動かない状態) ・歯髄壊死(歯の神経が失活した状態) |
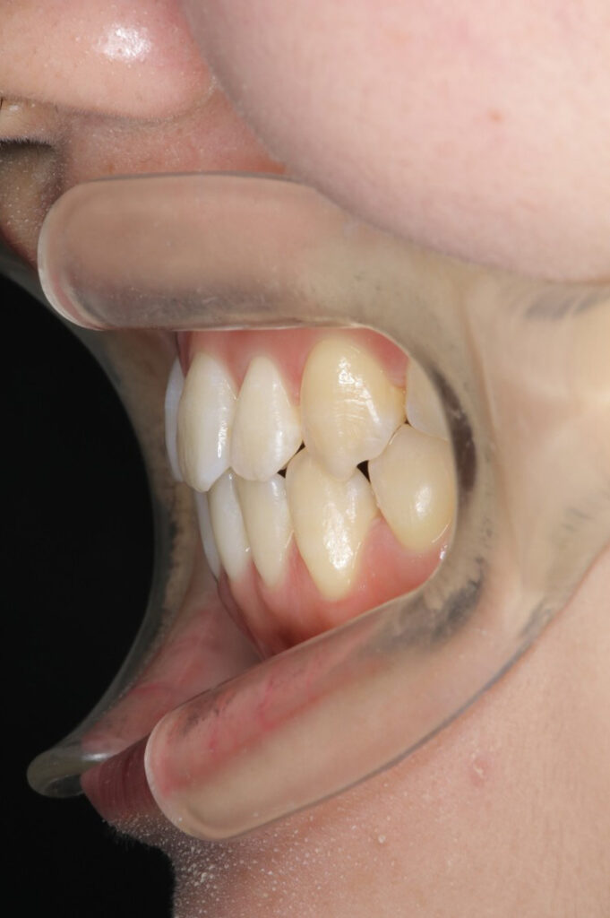
Before
After
Before
After
Before
After
小児矯正
症例1
| 主訴 | 上下の前歯が噛まない。 |
|---|---|
| 診断名 | 開咬・叢生 |
| 年齢 | 7歳 |
| 治療に⽤いた主な装置 | 可撤式緩徐拡大装置・マルチブラケット装置 |
| 抜⻭部位 | 非抜歯 |
| 治療期間 | 5年5ヶ月(経過観察期間も含め) |
| 治療費概算 | ¥220,000 |
| リスクと副作⽤ | 矯正治療においては以下のようなリスクや副作用が考えられます ・虫歯や歯周病 ・歯根吸収(歯の根が短くなる症状) ・歯肉退縮(歯茎が下がる症状) ・骨性癒着(歯と骨が癒着し歯が動かない状態) ・歯髄壊死(歯の神経が失活した状態) |
Before
After
Before
After
症例2
| 主訴 | 受け口が気になる。 |
|---|---|
| 診断名 | 骨格性下顎前突症・叢生 |
| 年齢 | 6歳 |
| 治療に⽤いた主な装置 | 上顎前方牽引装置・可撤式緩徐拡大装置・マルチブラケット装置 |
| 抜⻭部位 | 非抜歯 |
| 治療期間 | 9年1ヶ月(経過観察期間も含め) |
| 治療費概算 | ¥220,000 |
| リスクと副作⽤ | 矯正治療においては以下のようなリスクや副作用が考えられます ・虫歯や歯周病 ・歯根吸収(歯の根が短くなる症状) ・歯肉退縮(歯茎が下がる症状) ・骨性癒着(歯と骨が癒着し歯が動かない状態) ・歯髄壊死(歯の神経が失活した状態) |
Before
After
Before
After
Before
After
症例3
| 主訴 | 出っ歯が気になる。 |
|---|---|
| 診断名 | 骨格性上顎前突症・空隙歯列弓 |
| 年齢 | 8歳 |
| 治療に⽤いた主な装置 | アクチバトール・可撤式緩徐拡大装置・マルチブラケット装置 |
| 抜⻭部位 | 非抜歯 |
| 治療期間 | 治療期間:7年2ヶ月(経過観察期間も含め) |
| 治療費概算 | ¥220,000 |
| リスクと副作⽤ | 矯正治療においては以下のようなリスクや副作用が考えられます ・虫歯や歯周病 ・歯根吸収(歯の根が短くなる症状) ・歯肉退縮(歯茎が下がる症状) ・骨性癒着(歯と骨が癒着し歯が動かない状態) ・歯髄壊死(歯の神経が失活した状態) |
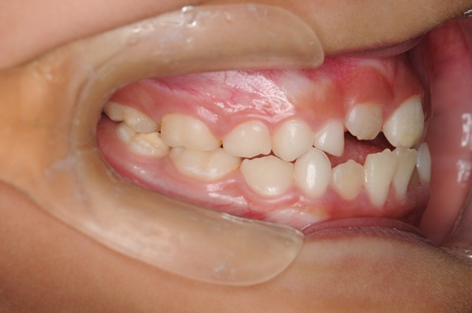
Before
After
Before
After
Before
After
症例4
| 主訴 | 上下のガタガタと出っ歯が気になる。 |
|---|---|
| 診断名 | 叢生・上顎前突 |
| 年齢 | 8歳 |
| 治療に⽤いた主な装置 | 可撤式緩徐拡大装置・マルチブラケット装置・アクチバトール |
| 抜⻭部位 | 非抜歯 |
| 治療期間 | 2年4ヶ月(経過観察期間も含め) |
| 治療費概算 | ¥220,000 |
| リスクと副作⽤ | 矯正治療においては以下のようなリスクや副作用が考えられます ・虫歯や歯周病 ・歯根吸収(歯の根が短くなる症状) ・歯肉退縮(歯茎が下がる症状) ・骨性癒着(歯と骨が癒着し歯が動かない状態) ・歯髄壊死(歯の神経が失活した状態) |
Before
After
Before
After
症例5
| 主訴 | 受け口が気になる。 |
|---|---|
| 診断名 | 骨格性下顎前突症・開咬・叢生 |
| 年齢 | 7歳 |
| 治療に⽤いた主な装置 | 上顎前方牽引装置・可撤式緩徐拡大装置・マルチブラケット装置 |
| 抜⻭部位 | 非抜歯 |
| 治療期間 | 8年7ヶ月(経過観察期間も含め) |
| 治療費概算 | ¥220,000 |
| リスクと副作⽤ | 矯正治療においては以下のようなリスクや副作用が考えられます ・虫歯や歯周病 ・歯根吸収(歯の根が短くなる症状) ・歯肉退縮(歯茎が下がる症状) ・骨性癒着(歯と骨が癒着し歯が動かない状態) ・歯髄壊死(歯の神経が失活した状態) |
Before
After
Before
After
Before
After
症例6
| 主訴 | 出っ歯と八重歯が気になる。 |
|---|---|
| 診断名 | 上顎前突・叢生 |
| 年齢 | 13歳 |
| 治療に⽤いた主な装置 | アクチバトール・マルチブラケット装置 |
| 抜⻭部位 | 非抜歯 |
| 治療期間 | 3年9ヶ月(経過観察期間も含め) |
| 治療費概算 | ¥220,000 |
| リスクと副作⽤ | 矯正治療においては以下のようなリスクや副作用が考えられます ・虫歯や歯周病 ・歯根吸収(歯の根が短くなる症状) ・歯肉退縮(歯茎が下がる症状) ・骨性癒着(歯と骨が癒着し歯が動かない状態) ・歯髄壊死(歯の神経が失活した状態) |
Before
After
Before
After





